お一人おひとりの噛み合わせに合わせることが入れ歯治療は重要
誰でも入れ歯にはなりたくないものです。
ですが、入れ歯を使わないと機能回復できないケースもあります。
入れ歯は痛くて噛めないとか、入れ歯は硬いものは噛めないとか、あまり入れ歯の評判は世間的に良くはありません。
しかし、お口全体の咬み合わせを合わせて治療計画をしっかり立てて、適応症にあった入れ歯を選択して作ると、入れ歯でもかなりしっかり噛めるようになります。
入れ歯でこんなお悩みの方はご相談下さい
親知らずは以下のような時は抜く必要があります。
- 入れ歯が安定しない。
- しっかり噛むことができない。
- 会話をしているときに外れることがある。
- 歯ぐきにあたって痛みを感じる。
- 食事の際に食べ物が詰まりやすい。
- インプラント治療ができないと言われた。
- 治療費が高いためインプラント治療が受けられない。
保険と自費の入れ歯はなにが違うの?
保険の入れ歯は保険適応内で決められた範囲内の素材や製作工程で入れ歯を作っていきます。保険適応するので費用的には非常に安く済ませることができるというメリットがあります。
対して、自費の入れ歯はよりお口にフィットする入れ歯を製作するために、保険適応外の高価な素材を使用したり、製作工程も保険の入れ歯より複雑な工程で入れ歯を作っていきます。
より安い費用での入れ歯製作を求めるなら保険の入れ歯を作ることをおススメします。
しかし、入れ歯をした時の不快な装着感を改善したり、より良いフィット感を求めるなら断然、より精密に製作された自費の入れ歯をおススメします。
パーシャルパラレルミリングデンチャー
ミリングデンチャーは、歯の表面に装着する入れ歯の一種で、残っている歯を加工して、入れ歯と連結させる部分入れ歯です。
高い安定性と審美性を実現した装置であり、入れ歯本体だけではなく、入れ歯を固定する差し歯の部分から設計を行いますので、口腔内をトータルに考えられた入れ歯になります。
そのため残りの歯には負担をかけることなく、しっかりと安定するので、食べ物もよく噛むことが可能です。
金属の見えないパーシャルパラレルミリングデンチャー
-

ジルコニアブリッジ正面
-

裏側も舌感が良いです
-

ブリッジと金属床装着時
上下両側遊離端義歯(支台装置はジルコニア)
-

最近はジルコニアのケースが多くなっています
-

レジン前装ブリッジ義歯
-

金属の見えないパーシャルパラレルミリングデンチャー
パーシャルデンチャー コバルトクロム金属床
-

金属の見えるバネ(クラスプ)RPAクラスプ
-

パーシャルデンチャー コバルトクロム金属床
-

金属の見えないパーシャルパラレルミリングデンチャー
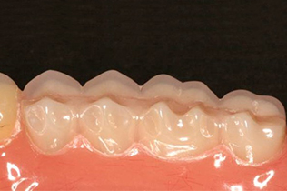
ジルコニアブレードティース
ジルコニアブレードティース&コバルトクロム金属床
ジルコニアブレードティース&コバルトクロム金属床とは、ジルコニアブレードティースとコバルトクロム金属床を組み合わせた入れ歯のことです。
ジルコニアブレードティースは、臼歯部の部分にジルコニアという強度の高いセラミック素材を用いることで、咬合力と審美性に優れた入れ歯になります。この金属床にすることで、咀嚼機能と安定性、見た目とフィット感を向上させ、長年使用してもほとんどすり減らない入れ歯になります。
-

ジルコニアブレードティース
-

コバルトクロム金属床
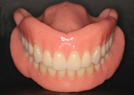
総義歯
総入れ歯とは、全ての歯を失ってしまった場合に、歯茎に吸着させる取り外し可能な義歯のことです。
保険外の総入れ歯の特徴は、歯茎の部分にあたる義歯床に金属やシリコンなどのプラスチック(レジン)以外の素材を使用できることです。
ノンクラスプデンチャー
ノンクラスプデンチャーは、歯の周りにあるバネを使用して、入れ歯を保持するために使用される従来の金属製のクラスプを必要とせず、歯肉に密着することで保持力を担っています。
金属製のクラスプがないため、見た目が自然であり、取り外しやすく、快適な装着感が得られます。